首頁 懷孕 名人家庭

鄭家純懷孕9週胚胎停止發育,半夜邊痛邊叫、累到痛醒!必知降低胎停風險4點

「雞排妹」鄭家純驚傳胎停!她在社群發文,半個月前產檢發現,胚囊發育晚了一週,沒想到竟是最不想見的胚胎停止發育,她詳述這個痛苦的胎囊及胚胎組織排出過程。
鄭家純懷孕9週胚胎停止發育,半夜邊痛邊叫、累到痛醒!必知降低胎停風險4點

 

鄭家純宣布懷孕、胎停,半夜出血痛醒過程「很痛苦」

藝人鄭家純「雞排妹」2022年和日籍老公Akira登記結婚,一直積極求孕,不料,2026年1月7日宣布懷孕9週,然而胚胎卻停止發育,需要中止妊娠,讓她發文提到這個過程,「真的很痛苦。」

鄭家純表示,半個月前產檢後發現,胚囊發育晚了一週。「醫生說有兩種可能,一個是排卵期晚一週,另一個可能就是胚胎有狀況,若下回產檢沒照到心跳便確定停止發育,需安排終止妊娠。」

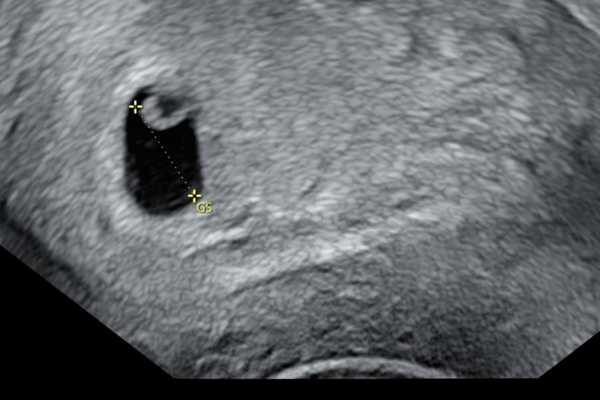
沒想到,1月6日傍晚開始少量出血,「過2小時後出血量變多開始腹痛,就立刻去急診,在醫院時陸續有排出血塊,照了陰道超音波確認胎囊大小與半個月前產檢時一樣,目前的處置就是回家休息吃止痛藥,等體力恢復後回台灣做後續。」

至此,已確認胚胎停止發育,必須終止妊娠。1月7日,鄭家純在持續出血伴隨著疼痛的情況下,在床上撰寫著社群發文,陳述這個過程。 

凌晨三點,她就算吃了止痛藥,還是痛到叫出來,無法入睡。雖然後來累到睡著,「凌晨五點又被痛醒,再一次邊痛邊叫到太累睡著,過幾小時後再被痛醒,到廁所換衛生棉看血塊們。」

這樣醒醒睡睡、出血痛醒的過程,讓她不禁吶喊,這個晚上:「真的很痛苦。」

胚胎停育7因素,男性也有可能是原因

受精卵出現發育異常,自動終止發育稱為「胚胎停育」,星孕國際生殖醫學中心說明,主要有7個原因:

1、 高齡因素

孕婦如果超過35歲之後懷孕的話,因為生育器官衰老、卵子品質下降、發生染色體異常的機率也會增高。而染色體異常是早期胚胎停育發生的主要原因。

2、 內分泌失調

胚胎著床跟能否繼續發育於複雜的內分泌系統,只要有任何一個環節失常,都可能導致流產。

胚胎早期發育的時候,需要三個重要的激素水準,雌激素、孕激素、人絨毛膜促性腺激素,作為母體來講,自身的內源性激素不足,會滿足不了胚胎的需要,就有可能造成胚胎停育和流產。

3、 染色體的問題

如果染色體異常的話也會導致胚胎不發育而導致早期流產。

4、 環境因素

孕婦接觸化學物質或者物理環境或有不良的生活習慣,例如:喝酒、抽菸、吸毒等,都有發生胚胎停育的可能。

5、 自身因素

女性的血液迴圈及泌尿等系統疾病可以影響胚胎的發育,例如:高度貧血或慢性腎炎、心力衰竭、出現高熱等也都有可能會引起胚胎停育;女性的生育器官畸形也會導致胚胎停育的發生。

6、 免疫因素

妊娠宮內的胚胎或胎兒屬於同種異體移植,因為胎兒是父母的遺傳物質的結合體和母體不可能完全相同。母胎間的免疫不適應而引起母體對胎兒的排斥。

常見的自身免疫疾病為系統性紅斑狼瘡、硬皮病、混合性結締組織病等。其二是生殖免疫的問題,如果我們自身帶某種抗體,就有可能影響胚胎的發育。

7、 男性原因

胎停的身體原因,目前來說,60%的原因在女性,25%為男方原因,15%的原因為雙方共同或查找不出原因。

如果男性染色體異常、體內有抗精子抗體、精子品質差、畸形率高,懷孕前接觸了有毒物質,受到放射線或大量電磁輻射的照射,抽菸或者酗酒等,都可能造成胎停育。

 

必知降低胎停風險的4做法

星孕國際生殖醫學中心表示,部分胎停是無法預防,因為涉及到染色體問題,這個因素目前無法控制。不過孕婦可以在其他方面把胎停風險降到最低。

1、 及時檢查

一旦發現自己懷孕了,最好馬上去醫院抽血檢查激素水準,如果激素不夠,可以及時補充,能有效降低胎停機率。按時做產檢,及時發現問題並治療,才能保障胎兒健康成長。

2、 疾病控制

很多慢性疾病會增加女性流產率,比如免疫缺陷、甲狀腺疾病、血糖偏高等,女性應該在備孕期間重視這些問題,孕後更應該及時複診檢查和積極治療才能降低風險。

3、 改變生活方式

孕婦的一些不好的生活習慣會危害胎兒發育,比如喝酒、抽菸、熬夜、飲食不當、壓力過大等。

4、 放鬆心情,調節情緒

好心情是好孕氣的基礎,緊張過度、壓力過大都可能會導致體內分泌失衡,對胎兒產生不利影響。

 

整理撰文/游資芸

圖片來源/FB@鄭家純